МЕДИКОМ САРАНСК, рентгенодиагностический центр челюстно-лицевой области




8 фото
г Саранск, ул Б.Хмельницкого, д 35, офис 13
Ленинский район
Описание клиники
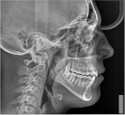
Центр проводит трёхмерное рентгенографическое исследование зубов (3D-снимок зубов), челюстей, околоносовых пазух, черепа и височно-нижнечелюстных суставов. Оборудование позволяет получить снимок высокой точности и определить степень повреждения, состояние костных структур и зубов, расположение корневых каналов. Снимки: ортопантомограмма, телерентгенограмма, конусно-лучевая компьютерная томография зубов, пазух, височно-нижнечелюстных суставов. Запись исследования на диск, распечатка на фотобумагу, описание врача-рентгенолога.
О клинике
Наличные, Банковская карта
Принимаем взрослых, детей
Отзывы
(1)Сортировать:
- сначала с текстом
- по дате


