
Маслов Георгий Вячеславович
- Стаж 20 лет
г Москва, ул Малая Пионерская, д 21
Павелецкая (700 м)
Добрынинская (900 м)
Серпуховская (900 м)
О враче
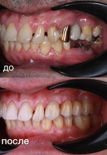
Маслов Георгий Вячеславович: стоматолог-хирург, стоматолог-ортопед, имплантолог. Стаж работы - 20 лет.
Врач-ортопед, специализирующийся на восстановлении и протезировании зубов. Маслов Георгий Вячеславович занимается установкой несъемных, съемных и условно-съемных протезов. Эксперт в области лечения и коррекции функциональных расстройств челюстной системы: болей в области височно-нижнечелюстного сустава, дискомфорта при жевании, смыкании зубов, открывании рта, щелчков и хруста в челюсти, напряжения в области мышц шеи и головы. В компетенции доктора находится:
съемное протезирование,
несъемное протезирование,
эстетическое протезирование,
протезирование на имплантатах.
Образование
Образование:
2005 - окончил СГМУ.
2006 - общая интернатура СГМУ. 2010 – Специализация МГМСУ по имплантологии. 2010 – Первичная специализация по хирургической стоматологии. 2015 – Первичная специализация по хирургической стоматологии. 2019 – Первичная специализация по хирургической стоматологии. 2019 – Первичная специализация по ортопедической стоматологии.
Дополнительное образование:
2007 – Курс по достижению цвета реставрации.
2008 – Клиническая эндодонтия.
2008 – Alpha Bio, имплантанционная система.
2010 – Dentium. Симпозиум по имплантации. Лос Анджелес.
2013 – Dentium. Симпозиум по костной пластике. Москва.
2014 – Dentium. Практический курс по костной пластике, синус лифтингу.
2015 – Osstem. Симпозиум по костной пластике. Москва.
2015 – Osstem. Менеджмент мягких тканей.
2015 – Osstem. Цифровой протокол.
2015 – Komet. Межкортикальная остеотомия.
2016 – Dentium. Симпозиум по имплантации. Сеул.
2017 – Osstem. Курс по расщеплению и костной пластике. 2018 – Пластика мягких тканей и реставрация в области имплантатов. 2019 – Всероссийский конгресс по рентгено - диагностике ЧЛО.
2019 – Практический курс «Виниры и виниры 360».
2019 – Osstem Meeting. Цифровой протокол.
2020 – Первичная специализация по ортопедической стоматологии. 2020 – imtc. Туннельная техника и периохирургия. 2020 – HIOHI-S. Цифровая окклюзия и спинт - терапия. 2020 – Функциональная диагностика ВНЧС. 2021 – HIOHI-S. Конгресс гнатологии. 2021 - imtc. Оказание неотложной медицинской помощи. 2021 – Helios. Школа МРТ концепции BMJO. 2021 – Helios. Диагностика и лечение ВНЧС. 2021 – HIOHI-S. Конгресс гнатологии. 2021 – Helios. Базовая гнатология. Здоровый сустав. МРТ. ТЭНС, артикулятор и лицевая дуга. 2021 – ALTRACORE. Направленная костная регенерация. 2022 – Анализ всех видов осложнений при реализации концепции all-on-4.
2023 – Второй конгресс регенеративной хирургии.
Места работы
- Стоматология izub.ru
Преимущества врача
Близко от метро
Отзывы о враче Маслов Георгий Вячеславович
Дипломы и сертификаты




























